
- 5
- 1
- ,
- 5
- 9
- 3
To Quiz Yourself: Select OFF by clicking the button to hide the diagnosis & additional resources under the case.
Quick Browser: Select ON by clicking the button to hide the additional resources for faster case review.
CASE NUMBER
3,548
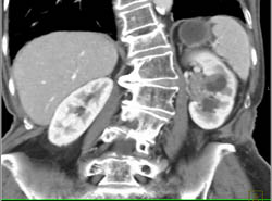
Diagnosis
Recurrent Renal Cell Carcinoma in Left Renal Bed
THIS IS CASE
3,548
OF
7,917
