
- 5
- 1
- ,
- 5
- 9
- 3
To Quiz Yourself: Select OFF by clicking the button to hide the diagnosis & additional resources under the case.
Quick Browser: Select ON by clicking the button to hide the additional resources for faster case review.
CASE NUMBER
1,811
Diagnosis
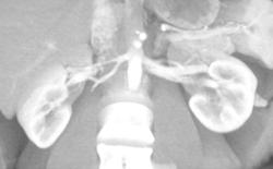
Transitional Cell Carcinoma-lower Pole of Right Kidney
THIS IS CASE
1,811
OF
7,917
