
- 5
- 1
- ,
- 5
- 5
- 8
To Quiz Yourself: Select OFF by clicking the button to hide the diagnosis & additional resources under the case.
Quick Browser: Select ON by clicking the button to hide the additional resources for faster case review.
CASE NUMBER
1,569
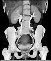
Diagnosis
Penile Prosthesis Reservoir in Left Pelvis
THIS IS CASE
1,569
OF
7,914
