
- 5
- 1
- ,
- 5
- 9
- 3
To Quiz Yourself: Select OFF by clicking the button to hide the diagnosis & additional resources under the case.
Quick Browser: Select ON by clicking the button to hide the additional resources for faster case review.
CASE NUMBER
1,405
Diagnosis
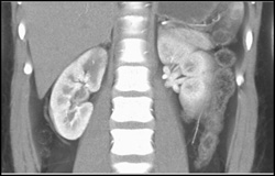
Cystic Renal Cell Carcinoma and Cysts
THIS IS CASE
1,405
OF
7,917
