
- 5
- 1
- ,
- 5
- 9
- 3
To Quiz Yourself: Select OFF by clicking the button to hide the diagnosis & additional resources under the case.
Quick Browser: Select ON by clicking the button to hide the additional resources for faster case review.
CASE NUMBER
716
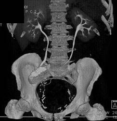
Diagnosis
Pelvic Kidney With Stones in Renal Pelvis
THIS IS CASE
716
OF
7,917
