
- 5
- 2
- ,
- 3
- 1
- 4
To Quiz Yourself: Select OFF by clicking the button to hide the diagnosis & additional resources under the case.
Quick Browser: Select ON by clicking the button to hide the additional resources for faster case review.
CASE NUMBER
508
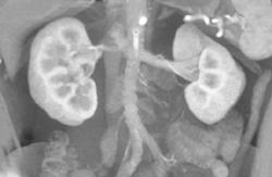
Diagnosis
Bone Mets From Recurrent Renal Cell Carcinoma
THIS IS CASE
508
OF
8,290
