
- 5
- 1
- ,
- 5
- 9
- 3
To Quiz Yourself: Select OFF by clicking the button to hide the diagnosis & additional resources under the case.
Quick Browser: Select ON by clicking the button to hide the additional resources for faster case review.
CASE NUMBER
249
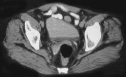
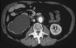
Diagnosis
Obstructing Left Distal Calculus in Ureter
THIS IS CASE
249
OF
7,917
