
- 5
- 1
- ,
- 5
- 5
- 8
To Quiz Yourself: Select OFF by clicking the button to hide the diagnosis & additional resources under the case.
Quick Browser: Select ON by clicking the button to hide the additional resources for faster case review.
CASE NUMBER
45
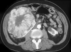
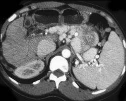
Diagnosis
Renal Cell Carcinoma in Dialysis Patient
THIS IS CASE
45
OF
7,914
