
- 1
- 3
- ,
- 3
- 0
- 2
To Quiz Yourself: Select OFF by clicking the button to hide the diagnosis & additional resources under the case.
Quick Browser: Select ON by clicking the button to hide the additional resources for faster case review.
CASE NUMBER
1,015
Diagnosis
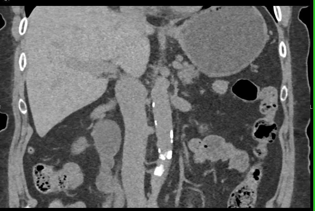
Large Necrotic Nodal Mass Obstructs Ureter
THIS IS CASE
1,015
OF
1,653
