
- 1
- 3
- ,
- 3
- 0
- 9
To Quiz Yourself: Select OFF by clicking the button to hide the diagnosis & additional resources under the case.
Quick Browser: Select ON by clicking the button to hide the additional resources for faster case review.
CASE NUMBER
538
Diagnosis
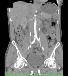
Retroperitoneal Fibrosis Displaces the Ureters
THIS IS CASE
538
OF
1,654
