
- 1
- 3
- ,
- 3
- 0
- 9
To Quiz Yourself: Select OFF by clicking the button to hide the diagnosis & additional resources under the case.
Quick Browser: Select ON by clicking the button to hide the additional resources for faster case review.
CASE NUMBER
526
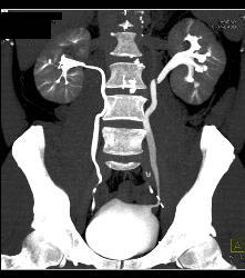
Diagnosis
Normal CT Urogram
THIS IS CASE
526
OF
1,654
