
- 1
- 1
- ,
- 5
- 9
- 0
To Quiz Yourself: Select OFF by clicking the button to hide the diagnosis & additional resources under the case.
Quick Browser: Select ON by clicking the button to hide the additional resources for faster case review.
CASE NUMBER
893
Diagnosis
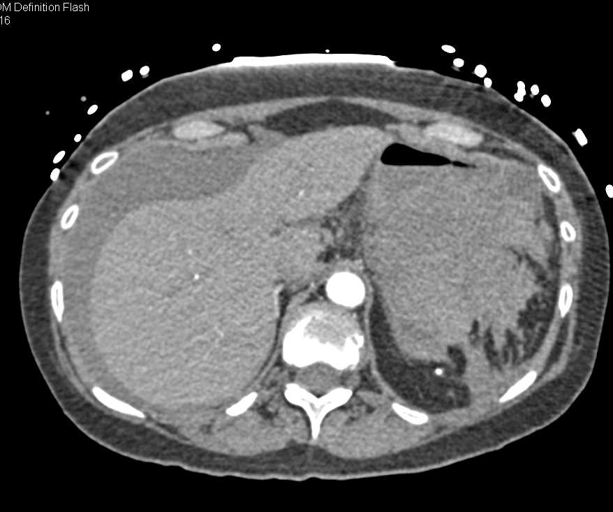
Hemoperitoneum due to Hepatic Bleed, in a Patient with Hx of Renal Osteodystrophy
THIS IS CASE
893
OF
1,067
