
- 1
- 1
- ,
- 5
- 9
- 0
To Quiz Yourself: Select OFF by clicking the button to hide the diagnosis & additional resources under the case.
Quick Browser: Select ON by clicking the button to hide the additional resources for faster case review.
CASE NUMBER
  490
  
  
	
    Diagnosis
  
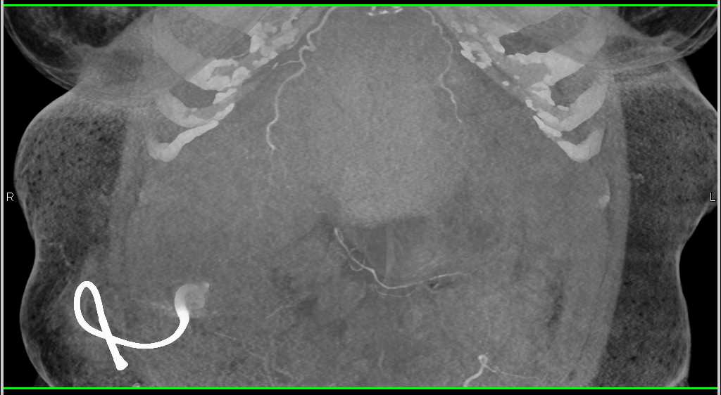
Failed Renal Transplant with Right Lower Quadrant Bleed
	 THIS IS CASE
     490
       
	    OF
		1,067
   
       
     
   
 
       
       
       
       
       
       
       
       
          
          
         