
- 1
- 1
- ,
- 5
- 9
- 0
To Quiz Yourself: Select OFF by clicking the button to hide the diagnosis & additional resources under the case.
Quick Browser: Select ON by clicking the button to hide the additional resources for faster case review.
CASE NUMBER
253
Diagnosis
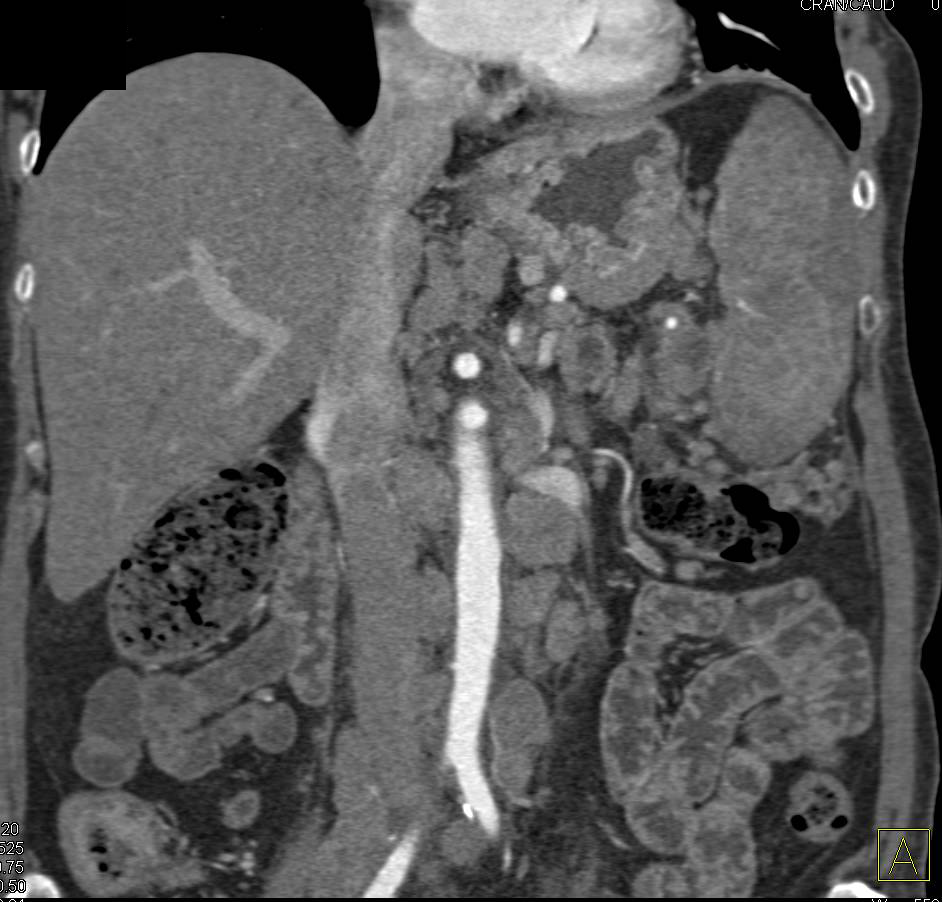
Crohn's Disease Ileum with Comb Sign with Prominent Vasa Recta
THIS IS CASE
253
OF
1,067