
- 1
- 0
- ,
- 5
- 3
- 8
To Quiz Yourself: Select OFF by clicking the button to hide the diagnosis & additional resources under the case.
Quick Browser: Select ON by clicking the button to hide the additional resources for faster case review.
CASE NUMBER
1,332
Diagnosis
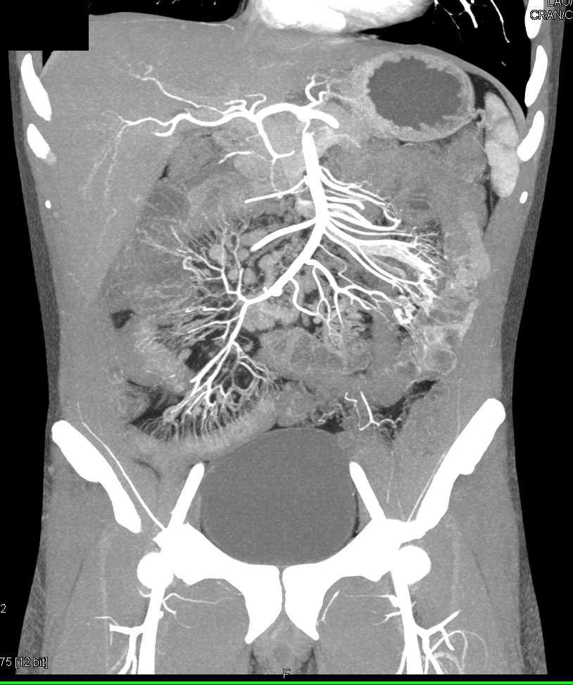
Pneumatosis Right Colon with Thrombus in Portal Vein and Superior Mesenteric Vein (SMV)
THIS IS CASE
1,332
OF
1,578
