
- 1
- 0
- ,
- 5
- 4
- 0
To Quiz Yourself: Select OFF by clicking the button to hide the diagnosis & additional resources under the case.
Quick Browser: Select ON by clicking the button to hide the additional resources for faster case review.
CASE NUMBER
1,275
Diagnosis
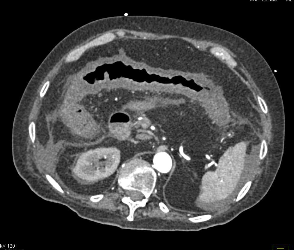
Inflamed Right Colon and Appendix due to Colitis
THIS IS CASE
1,275
OF
1,579
