
- 1
- 0
- ,
- 5
- 3
- 8
To Quiz Yourself: Select OFF by clicking the button to hide the diagnosis & additional resources under the case.
Quick Browser: Select ON by clicking the button to hide the additional resources for faster case review.
CASE NUMBER
929
Diagnosis
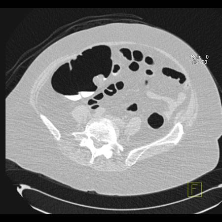
virtual colon: Mobile pills. Patient has Scleroderma. Notice the contour of the colon on the global images
THIS IS CASE
929
OF
1,578
