
- 1
- 0
- ,
- 5
- 4
- 8
To Quiz Yourself: Select OFF by clicking the button to hide the diagnosis & additional resources under the case.
Quick Browser: Select ON by clicking the button to hide the additional resources for faster case review.
CASE NUMBER
300
Diagnosis
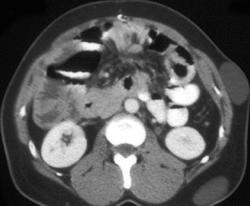
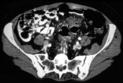
Metastatic Colon Cancer in Gardners Syndrome Patient (subcutaneous Cysts)
THIS IS CASE
300
OF
1,579
