
- 3
- 0
- ,
- 1
- 9
- 1
To Quiz Yourself: Select OFF by clicking the button to hide the diagnosis & additional resources under the case.
Quick Browser: Select ON by clicking the button to hide the additional resources for faster case review.
CASE NUMBER
4,866
Diagnosis
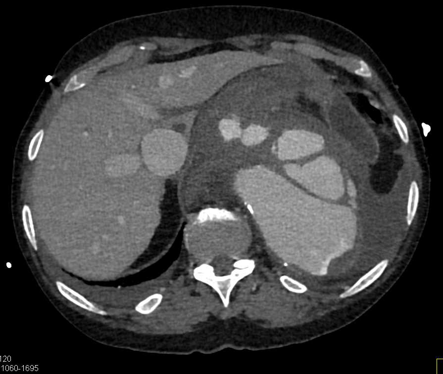
Aortic Valve Replacement (AVR) Repair and Repair of the Ascending Aorta
THIS IS CASE
4,866
OF
5,009
