
- 3
- 0
- ,
- 1
- 9
- 1
To Quiz Yourself: Select OFF by clicking the button to hide the diagnosis & additional resources under the case.
Quick Browser: Select ON by clicking the button to hide the additional resources for faster case review.
CASE NUMBER
4,304
Diagnosis
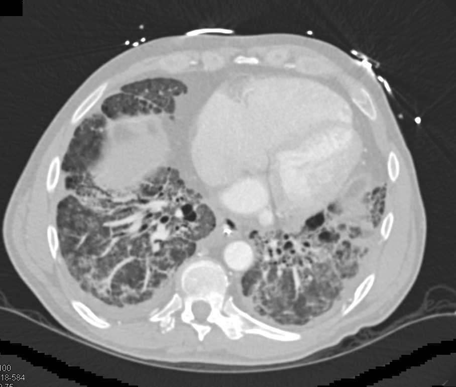
Interstitial Fibrosis Lung and Peripheral Vascular Disease
THIS IS CASE
4,304
OF
5,009
