
- 3
- 0
- ,
- 1
- 9
- 1
To Quiz Yourself: Select OFF by clicking the button to hide the diagnosis & additional resources under the case.
Quick Browser: Select ON by clicking the button to hide the additional resources for faster case review.
CASE NUMBER
4,289
Diagnosis
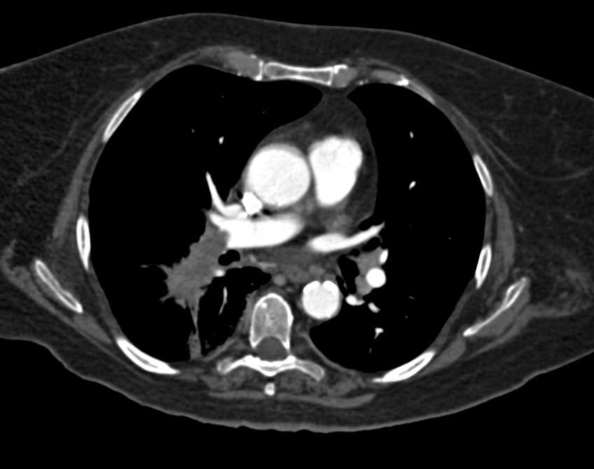
Aortic Valve Calcification with Aortic Stenosis as well as Pulmonary Embolism
THIS IS CASE
4,289
OF
5,009
