
- 3
- 0
- ,
- 1
- 9
- 1
To Quiz Yourself: Select OFF by clicking the button to hide the diagnosis & additional resources under the case.
Quick Browser: Select ON by clicking the button to hide the additional resources for faster case review.
CASE NUMBER
3,777
Diagnosis
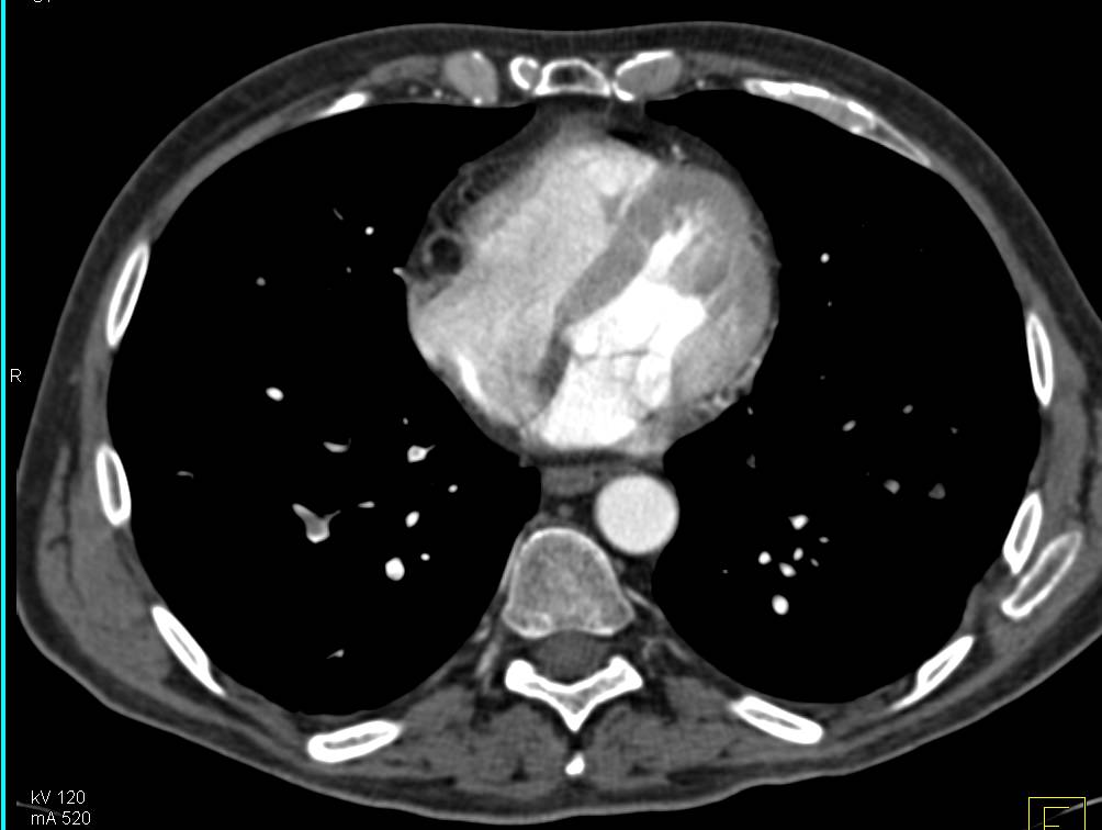
Aberrant Right Subclavian Artery in Patient with Dilated Ascending Aorta
THIS IS CASE
3,777
OF
5,009
