
- 3
- 0
- ,
- 1
- 9
- 1
To Quiz Yourself: Select OFF by clicking the button to hide the diagnosis & additional resources under the case.
Quick Browser: Select ON by clicking the button to hide the additional resources for faster case review.
CASE NUMBER
2,630
Diagnosis
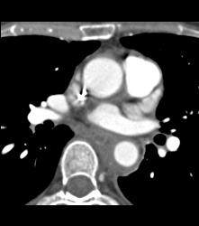
Left Anterior Descending Coronary Artery (LAD) and Right Coronary Artery (RCA) Disease
THIS IS CASE
2,630
OF
5,009
