
- 3
- 0
- ,
- 1
- 9
- 1
To Quiz Yourself: Select OFF by clicking the button to hide the diagnosis & additional resources under the case.
Quick Browser: Select ON by clicking the button to hide the additional resources for faster case review.
CASE NUMBER
2,561
Diagnosis
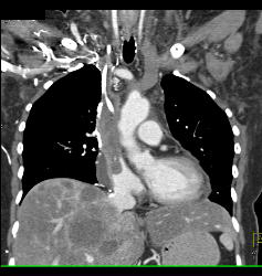
SVC Occlusion With Collaterals. SVC Occlusion Was Due to Tumor
THIS IS CASE
2,561
OF
5,009
