
- 3
- 0
- ,
- 1
- 9
- 1
To Quiz Yourself: Select OFF by clicking the button to hide the diagnosis & additional resources under the case.
Quick Browser: Select ON by clicking the button to hide the additional resources for faster case review.
CASE NUMBER
1,929
Diagnosis
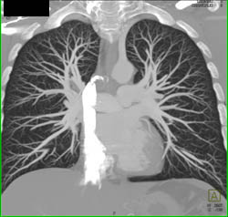
Dilated Sinus of Valsalva
THIS IS CASE
1,929
OF
5,009
