
- 3
- 0
- ,
- 1
- 9
- 1
To Quiz Yourself: Select OFF by clicking the button to hide the diagnosis & additional resources under the case.
Quick Browser: Select ON by clicking the button to hide the additional resources for faster case review.
CASE NUMBER
1,568
Diagnosis
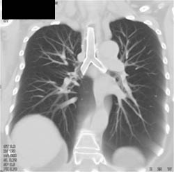
Stent in Airway With Granulomatous Tissue Pushing on Right Side of Trachea at Bifurcation- Various Renderings
THIS IS CASE
1,568
OF
5,009
