
- 3
- 0
- ,
- 1
- 9
- 1
To Quiz Yourself: Select OFF by clicking the button to hide the diagnosis & additional resources under the case.
Quick Browser: Select ON by clicking the button to hide the additional resources for faster case review.
CASE NUMBER
1,460
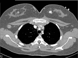
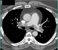
Diagnosis
Lung Cancer Metastatic to Subcutaneous Tissue
THIS IS CASE
1,460
OF
5,009
