
- 3
- 0
- ,
- 0
- 8
- 2
To Quiz Yourself: Select OFF by clicking the button to hide the diagnosis & additional resources under the case.
Quick Browser: Select ON by clicking the button to hide the additional resources for faster case review.
CASE NUMBER
1,426
Diagnosis
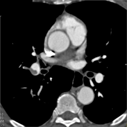
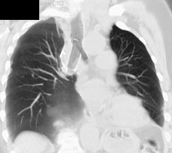
Collapse of Right Upper Lung Bronchus
THIS IS CASE
1,426
OF
4,999
