
- 3
- 0
- ,
- 0
- 8
- 2
To Quiz Yourself: Select OFF by clicking the button to hide the diagnosis & additional resources under the case.
Quick Browser: Select ON by clicking the button to hide the additional resources for faster case review.
CASE NUMBER
1,402
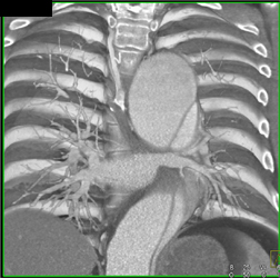
Diagnosis
Type A Dissection
THIS IS CASE
1,402
OF
4,999
