
- 3
- 0
- ,
- 1
- 9
- 1
To Quiz Yourself: Select OFF by clicking the button to hide the diagnosis & additional resources under the case.
Quick Browser: Select ON by clicking the button to hide the additional resources for faster case review.
CASE NUMBER
619
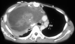
Diagnosis
Germ Cell Tumor Invades the Chest Wall
THIS IS CASE
619
OF
5,009
