
- 3
- 0
- ,
- 1
- 9
- 1
To Quiz Yourself: Select OFF by clicking the button to hide the diagnosis & additional resources under the case.
Quick Browser: Select ON by clicking the button to hide the additional resources for faster case review.
CASE NUMBER
551
Diagnosis
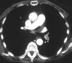
Stenosis of Both Mainstem Bronci at Anastomosis Post Transplant
THIS IS CASE
551
OF
5,009
