
- 2
- 4
- ,
- 4
- 1
- 2
To Quiz Yourself: Select OFF by clicking the button to hide the diagnosis & additional resources under the case.
Quick Browser: Select ON by clicking the button to hide the additional resources for faster case review.
CASE NUMBER
3,520
Diagnosis
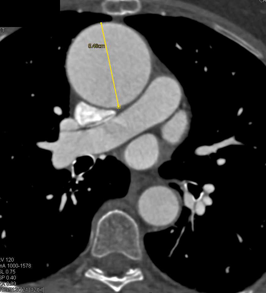
Pseudoaneurysm of the Aortic Root Following Aortic Valve Replacement (AVR)
THIS IS CASE
3,520
OF
4,100
