
- 2
- 4
- ,
- 4
- 1
- 2
To Quiz Yourself: Select OFF by clicking the button to hide the diagnosis & additional resources under the case.
Quick Browser: Select ON by clicking the button to hide the additional resources for faster case review.
CASE NUMBER
3,371
Diagnosis
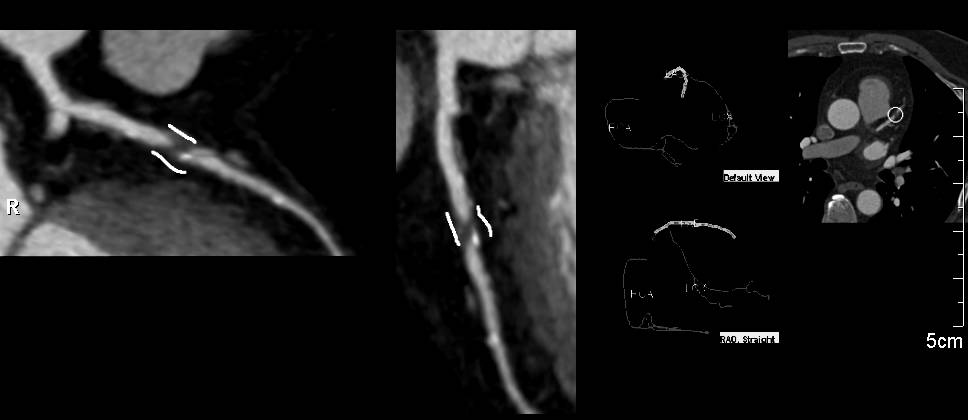
CCTA: Critical Left Anterior Descending Coronary Artery (LAD) Stenosis
THIS IS CASE
3,371
OF
4,100
