
- 2
- 4
- ,
- 4
- 4
- 1
To Quiz Yourself: Select OFF by clicking the button to hide the diagnosis & additional resources under the case.
Quick Browser: Select ON by clicking the button to hide the additional resources for faster case review.
CASE NUMBER
2,623
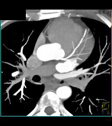
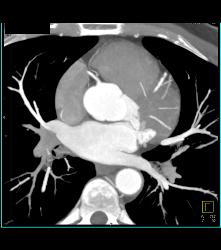
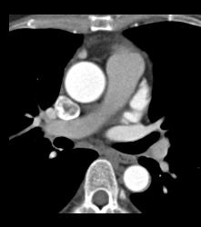
Diagnosis
Normal Left Anterior Descending Coronary Artery (LAD)
THIS IS CASE
2,623
OF
4,102
