
- 2
- 4
- ,
- 4
- 1
- 2
To Quiz Yourself: Select OFF by clicking the button to hide the diagnosis & additional resources under the case.
Quick Browser: Select ON by clicking the button to hide the additional resources for faster case review.
CASE NUMBER
2,471
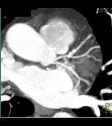
Diagnosis
Left Anterior Descending Coronary Artery (LAD) Plaque
THIS IS CASE
2,471
OF
4,100
