
- 2
- 4
- ,
- 4
- 2
- 6
To Quiz Yourself: Select OFF by clicking the button to hide the diagnosis & additional resources under the case.
Quick Browser: Select ON by clicking the button to hide the additional resources for faster case review.
CASE NUMBER
1,874
Diagnosis
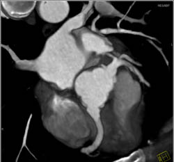
3D and MPR Sequence of Right Coronary Artery (RCA)
THIS IS CASE
1,874
OF
4,101
