
- 2
- 4
- ,
- 4
- 2
- 6
To Quiz Yourself: Select OFF by clicking the button to hide the diagnosis & additional resources under the case.
Quick Browser: Select ON by clicking the button to hide the additional resources for faster case review.
CASE NUMBER
1,824
Diagnosis
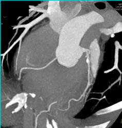
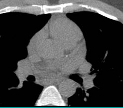
Vessel Analysis to Determine Plaque Composition
THIS IS CASE
1,824
OF
4,101
