
- 2
- 4
- ,
- 4
- 2
- 6
To Quiz Yourself: Select OFF by clicking the button to hide the diagnosis & additional resources under the case.
Quick Browser: Select ON by clicking the button to hide the additional resources for faster case review.
CASE NUMBER
1,624
Diagnosis
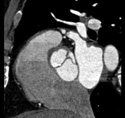
Aortic Stenosis With Dilated Aortic Root
THIS IS CASE
1,624
OF
4,101
