
- 2
- 4
- ,
- 4
- 2
- 6
To Quiz Yourself: Select OFF by clicking the button to hide the diagnosis & additional resources under the case.
Quick Browser: Select ON by clicking the button to hide the additional resources for faster case review.
CASE NUMBER
1,526
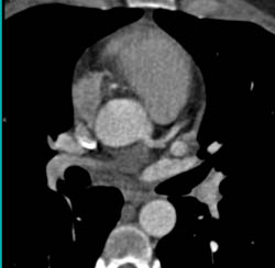
Diagnosis
Dilated Origin of RCA and Left Main Coronary Artery
THIS IS CASE
1,526
OF
4,101
