
- 2
- 4
- ,
- 4
- 4
- 1
To Quiz Yourself: Select OFF by clicking the button to hide the diagnosis & additional resources under the case.
Quick Browser: Select ON by clicking the button to hide the additional resources for faster case review.
CASE NUMBER
1,284
Diagnosis
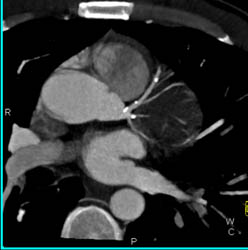
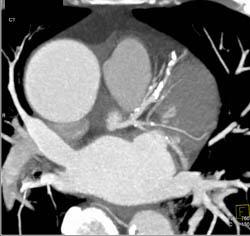
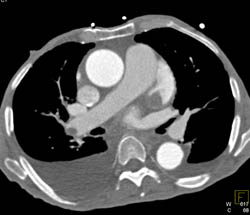
Aneurysm of Left Circumflex Coronary Artery
THIS IS CASE
1,284
OF
4,102
