
- 2
- 4
- ,
- 4
- 2
- 6
To Quiz Yourself: Select OFF by clicking the button to hide the diagnosis & additional resources under the case.
Quick Browser: Select ON by clicking the button to hide the additional resources for faster case review.
CASE NUMBER
1,192
Diagnosis
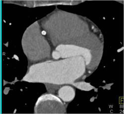
Right Coronary Artery Arises Off the Left Cusp
THIS IS CASE
1,192
OF
4,101
