
- 2
- 4
- ,
- 4
- 2
- 6
To Quiz Yourself: Select OFF by clicking the button to hide the diagnosis & additional resources under the case.
Quick Browser: Select ON by clicking the button to hide the additional resources for faster case review.
CASE NUMBER
1,170
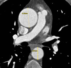
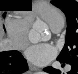
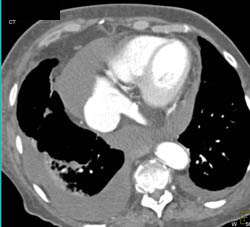
Diagnosis
Diseased Leaflet Aortic Valve
THIS IS CASE
1,170
OF
4,101
