google ads
Number of Images to Date
  • 2
  • 4
  • ,
  • 4
  • 4
  • 1

To Quiz Yourself: Select OFF by clicking the button to hide the diagnosis & additional resources under the case.

Quick Browser: Select ON by clicking the button to hide the additional resources for faster case review.

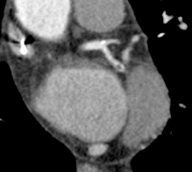
CASE NUMBER 176
Diagnosis

Right and Left Coronary Arteries Arise From A Single Cusp and Orifice

Diagnosis Hidden - Click to View
Related videos to the case

Privacy Policy

Copyright © 2025 The Johns Hopkins University, The Johns Hopkins Hospital, and The Johns Hopkins Health System Corporation. All rights reserved.