
- 2
- ,
- 3
- 0
- 9
To Quiz Yourself: Select OFF by clicking the button to hide the diagnosis & additional resources under the case.
Quick Browser: Select ON by clicking the button to hide the additional resources for faster case review.
CASE NUMBER
363
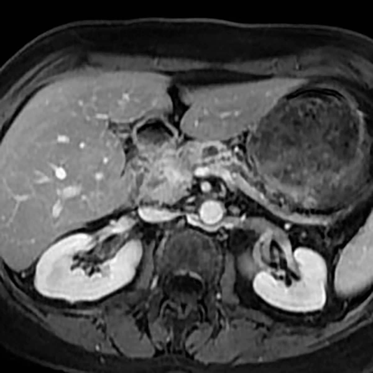
Diagnosis
Solid pseudopapillary tumor
Note
Multiple MR images demonstrate a hypoenhancing mass in the pancreatic head, relatively well-circumscribed, and arising in a young woman, representing solid pseudopapillary neoplasm
THIS IS CASE
363
OF
367
