
- 2
- ,
- 3
- 0
- 9
To Quiz Yourself: Select OFF by clicking the button to hide the diagnosis & additional resources under the case.
Quick Browser: Select ON by clicking the button to hide the additional resources for faster case review.
CASE NUMBER
274
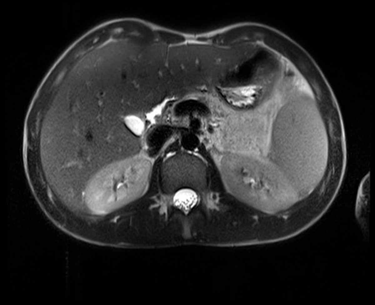
Diagnosis
Focal nodular hyperplasia (FNH)
Note
Multiple CT and MR images demonstrate homogeneous, round, markedly hypervascular mass in the right posterior liver lobe which is relatively isointense on the venous and delayed phase images, compatible with FNH
THIS IS CASE
274
OF
367
