
- 2
- ,
- 3
- 0
- 9
To Quiz Yourself: Select OFF by clicking the button to hide the diagnosis & additional resources under the case.
Quick Browser: Select ON by clicking the button to hide the additional resources for faster case review.
CASE NUMBER
39
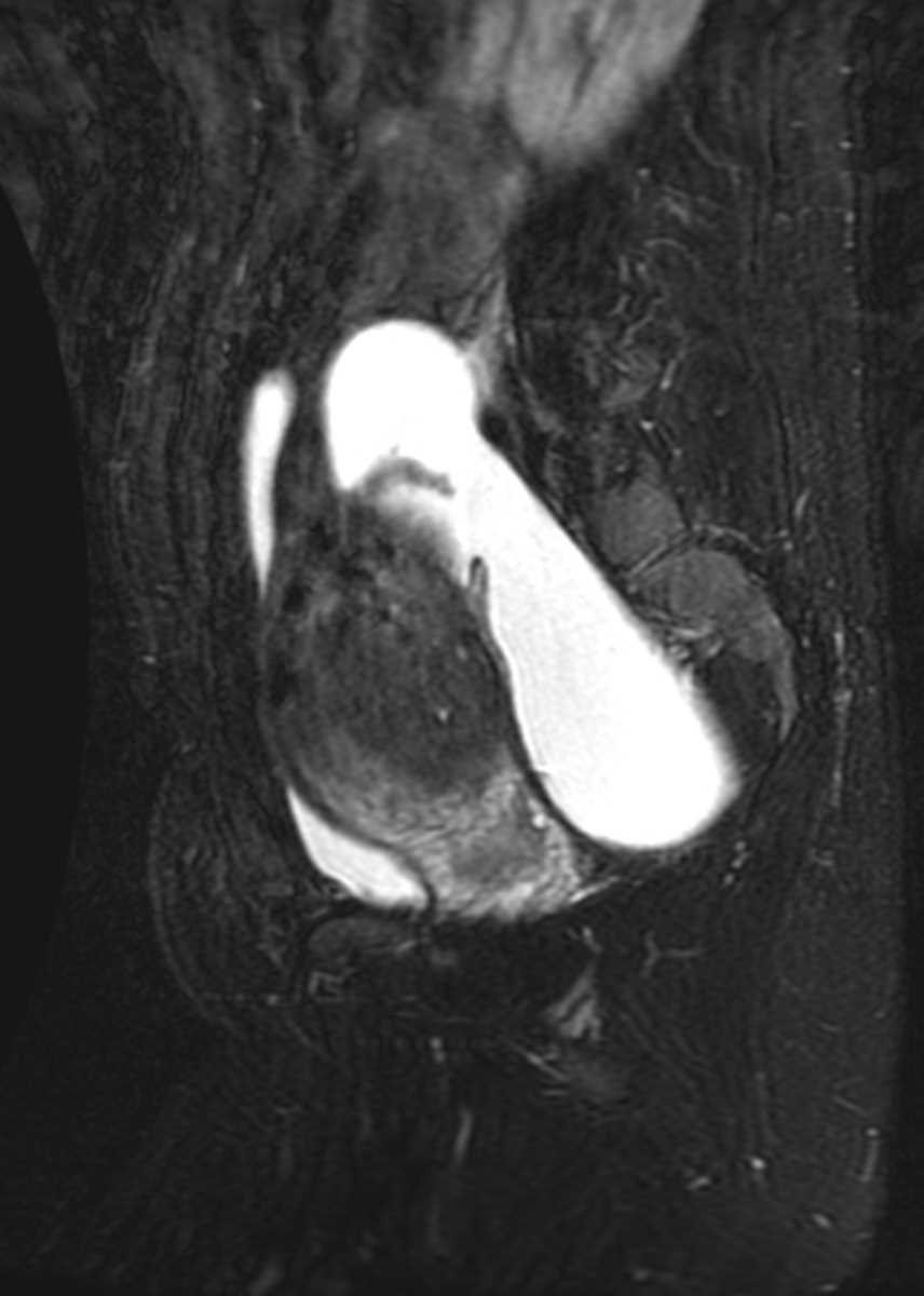
Diagnosis
Uterine Adenomyosis
Note
MRI images demonstrate massive thickening of the junctional zone of the uterus with multiple tiny T2 bright foci within this thickened junctional zone. The uterus is massivelt enlarged. This constellation of findings is consistent with uterine adenomyosis.
THIS IS CASE
39
OF
367
