
- 2
- ,
- 3
- 0
- 9
To Quiz Yourself: Select OFF by clicking the button to hide the diagnosis & additional resources under the case.
Quick Browser: Select ON by clicking the button to hide the additional resources for faster case review.
CASE NUMBER
19
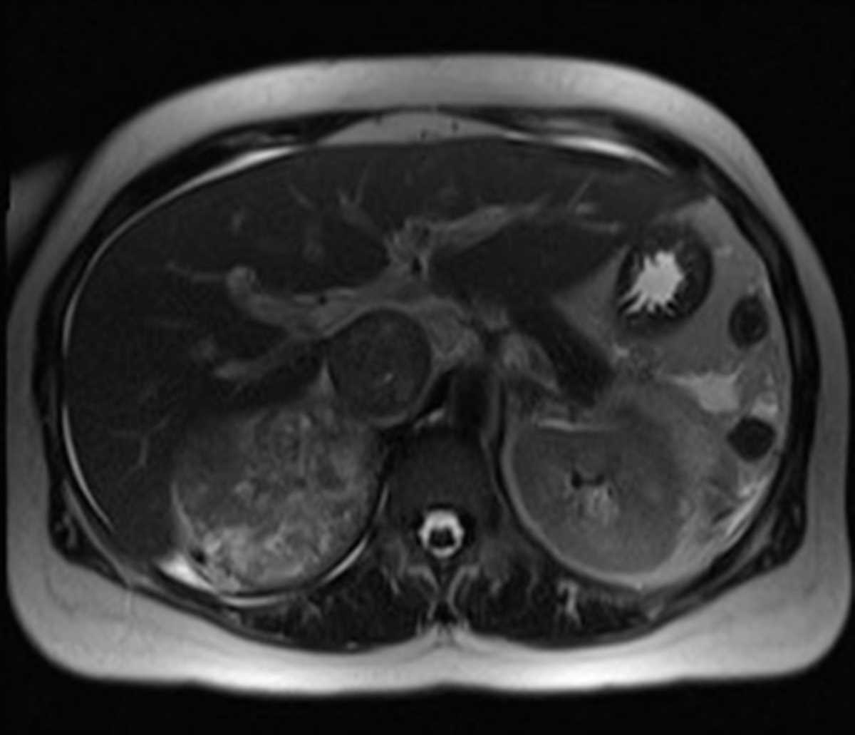
Diagnosis
Adrenal Pheochromocytoma
Note
Patient with hypertension. MR images demonstrate a T2 hyperintense mass arising from the right adnrela gland, with T1 hyperintensity and heterogeneous hypervascularity on the post-gadolinium images. This is the classic MR appearance of a pheochromocytoma.
THIS IS CASE
19
OF
367
