
- 7
 - ,
 - 3
 - 0
 - 5
 
To Quiz Yourself: Select OFF by clicking the button to hide the diagnosis & additional resources under the case.
Quick Browser: Select ON by clicking the button to hide the additional resources for faster case review.
CASE NUMBER
  537
  
  
	
    Diagnosis
  
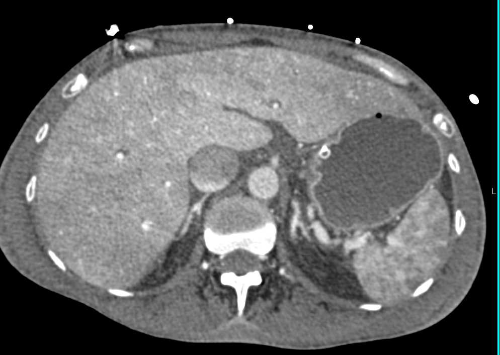
Recurrent Renal Cell Carcinoma Metastatic to the Pancreas, Contralateral Kidney and Adrenal and Adenopathy
	 THIS IS CASE
     537
       
	    OF
		839
   
       
     
   