
- 4
- 6
- ,
- 8
- 0
- 8
To Quiz Yourself: Select OFF by clicking the button to hide the diagnosis & additional resources under the case.
Quick Browser: Select ON by clicking the button to hide the additional resources for faster case review.
CASE NUMBER
1,651
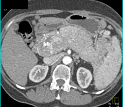
Diagnosis
Intraductal Papillary Mucinous Neoplasm (IPMN)
THIS IS CASE
1,651
OF
6,284
