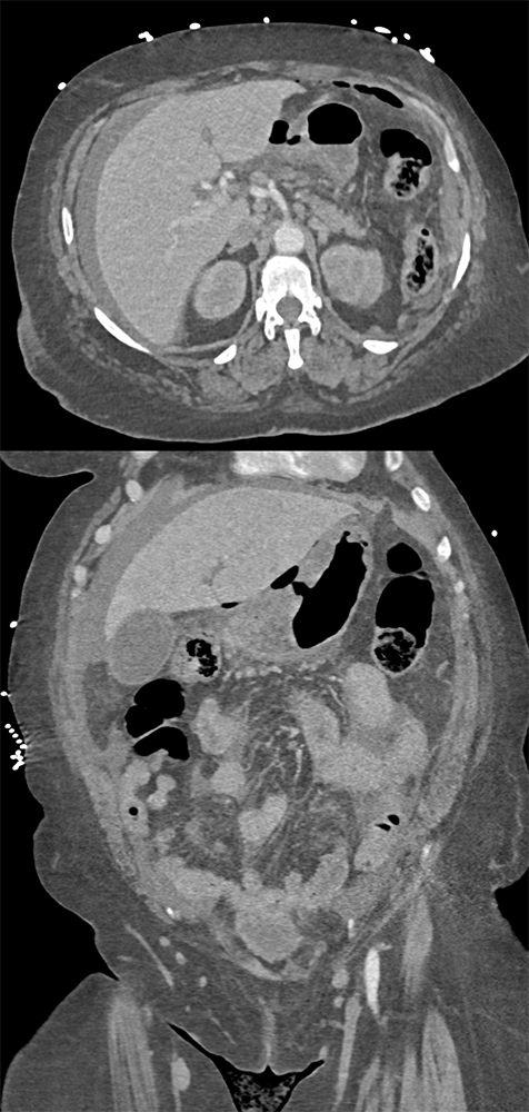
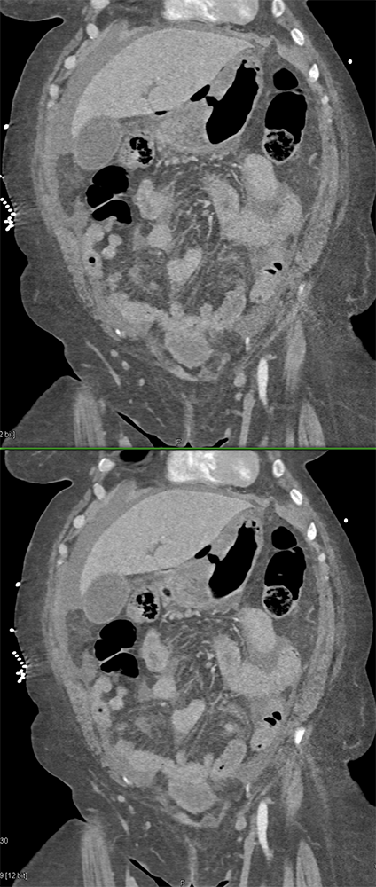
Perforated Benign Gastric Ulcer ![]() |
![]() |
![]() |
![]() |
![]() |
![]() |
![]() |
![]() |
![]() |
![]() |
![]() |
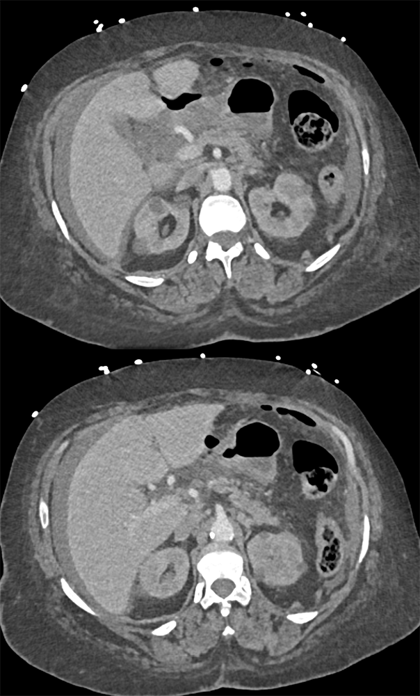
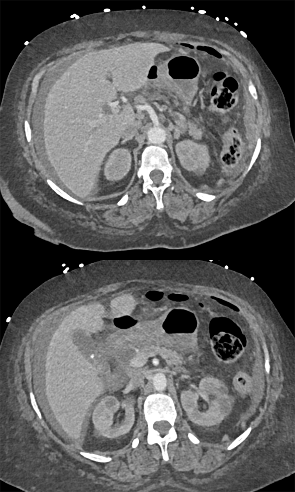
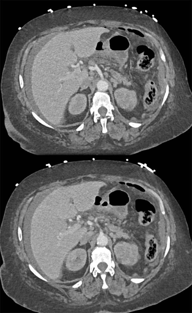
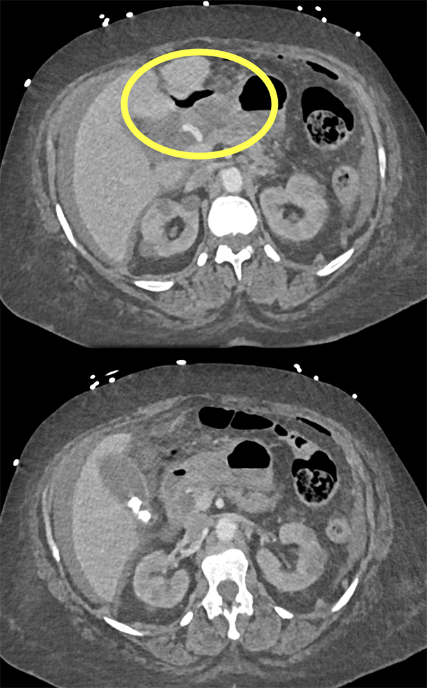
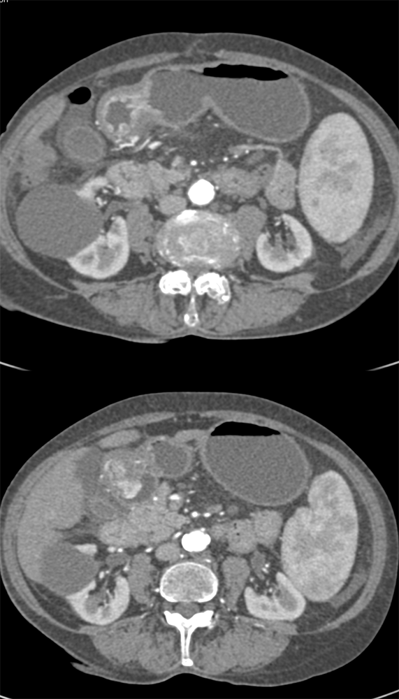
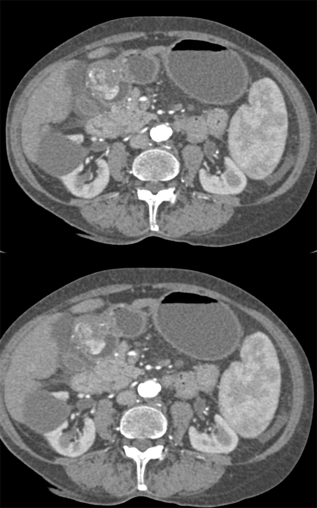
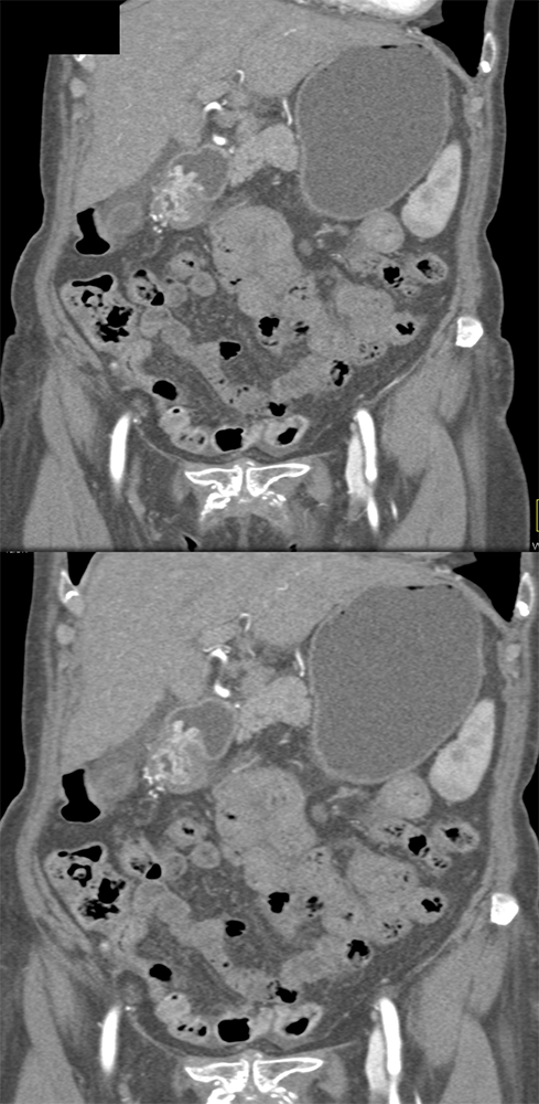
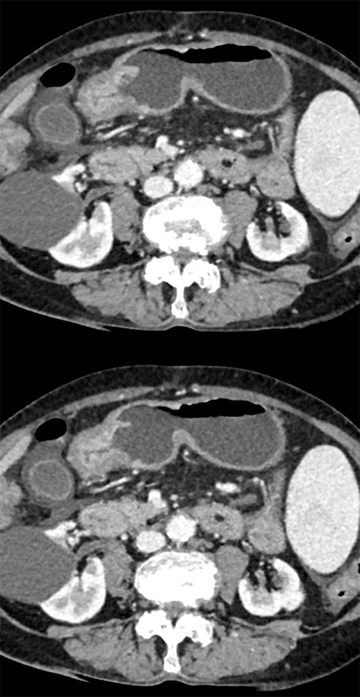
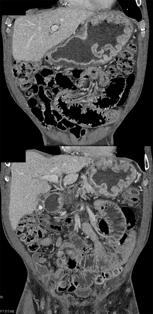
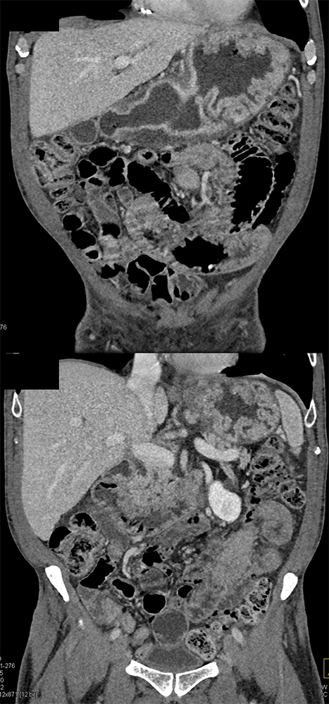
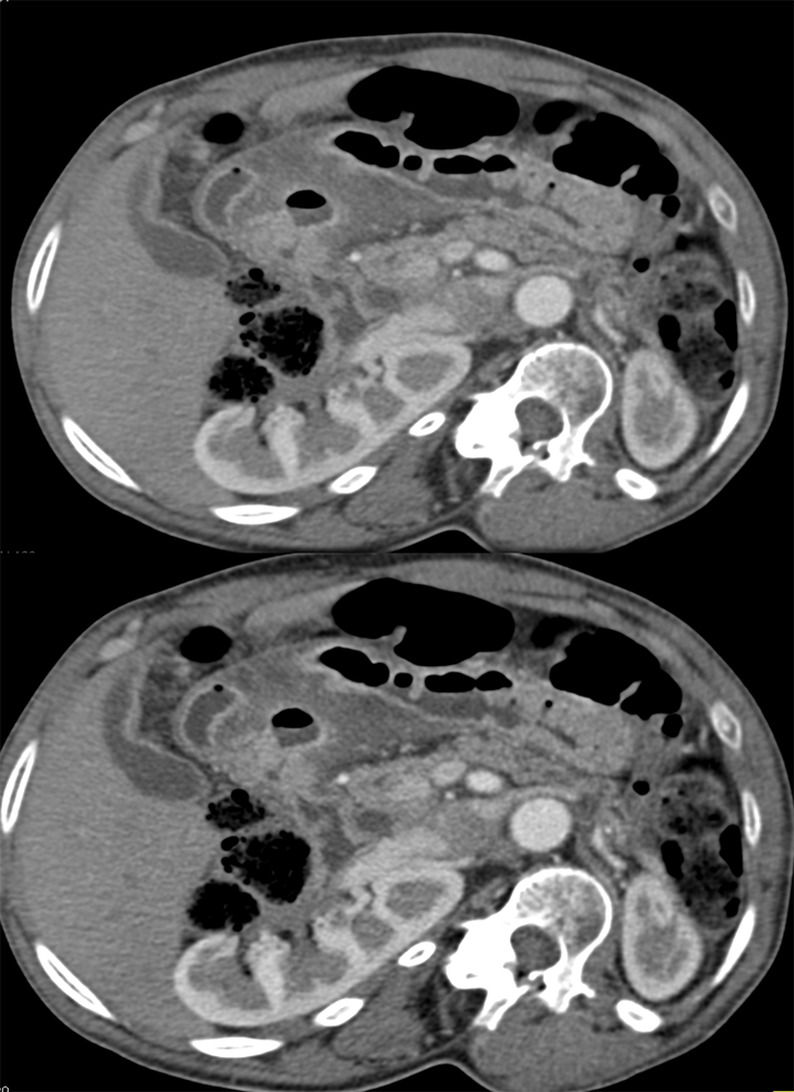
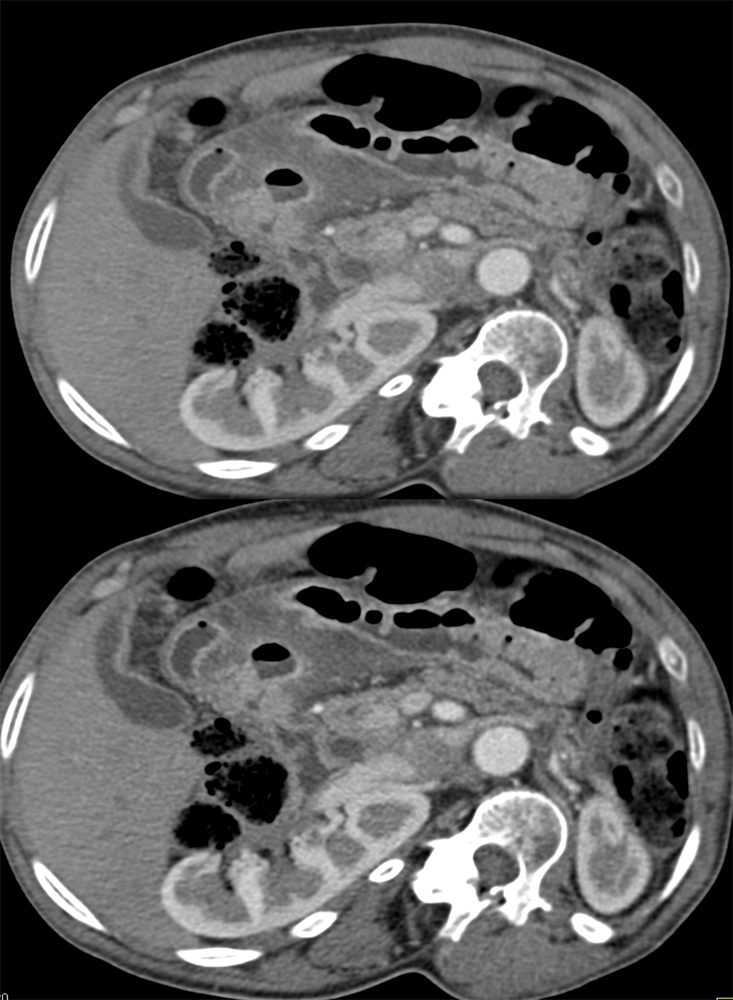
Suspected GI Bleed ![]() |
![]() |
![]() |
![]() |
![]() |
![]() |
“Watermelon stomach (WMS), or gastric antral vascular ectasia, is an uncommon but clinically important cause of chronic occult or overt gastrointestinal (GI) blood loss. Patients typically present with symptomatic anemia and hemoccult positive stools. Although the diagnosis is based primarily on the typical endoscopic appearance, the lesion may be overlooked on initial evaluation or interpreted as "gastritis." Gastric biopsy may be helpful in confirming the diagnosis by showing vascular ectasia, typically without inflammation. WMS is idiopathic but is often associated with autoimmune diseases or cirrhosis of the liver. The majority of patients with classic WMS are elderly and female.” |
“Gastric antral vascular ectasia (GAVE) is a rare entity with unique endoscopic appearance described as "watermelon stomach." It has been associated with systemic sclerosis but the pathophysiological changes leading to GAVE have not been explained and still remain uncertain.” Gastric Antral Vascular Ectasia in Systemic Sclerosis: Current Concepts. Parrado RH et al. Int J Rheumatol. 2015;2015:762546. |
![]() |
“In our patient, the findings of prominent mucosal folds extending from the pylonic channel on upper gastrointestinal series and the thickened antral wall on CT scans correlate well with the known pathologic appearance of gastnic antral vascular ectasia. Histologically, antral thickening results from a combination of foveolar and fibromuscular hyperplasia. Grossly, the antral fold prominence appears to result from bunching of the mucosa in the thickened, hypercontractile antrum.” Gastric antral vascular ectasia ("watermelon stomach"): radiologic findings. Urban BA, Jones B, Fishman EK, Kern SE, Ravich WJ. Radiology. 1991 Feb;178(2):517-8. |
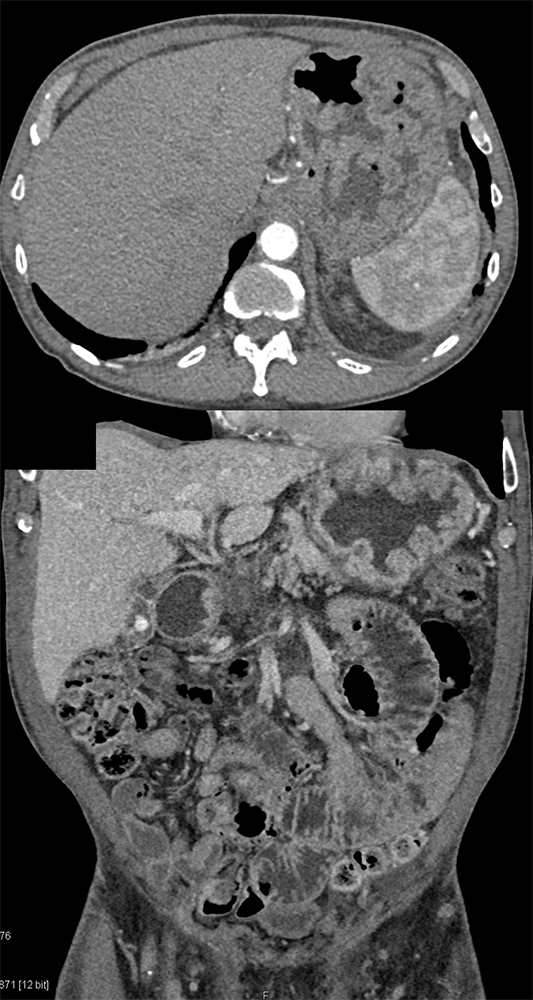
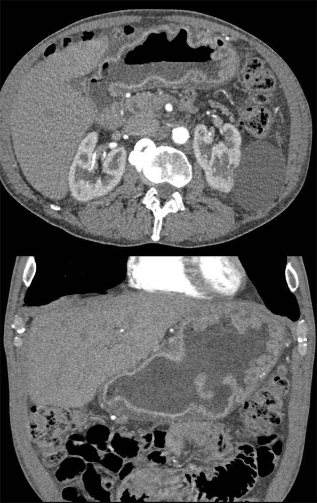
Watermelon stomach (WMS), or gastric antral vascular ectasia (GAVE) ![]() |
“Gastric antral vascular ectasia primanily affects women (9:1 female-to-male ratio) aged 56-76 years, and is associated with liver cirrhosis (37%) and achlorhydnia (35%). The usual symptoms are iron-deficiency anemia and melena due to chronic gastrointestinal bleeding from the dilated, superficial, and easily traumatized vessels. Antrectomy is curative, but endoscopic treatment with heat probes or lasers has shown promise.” Gastric antral vascular ectasia ("watermelon stomach"): radiologic findings. Urban BA, Jones B, Fishman EK, Kern SE, Ravich WJ. Radiology. 1991 Feb;178(2):517-8. |
“Gastritis can be secondary to many etiologies including infection, systemic illness such as trauma or burns, and autoimmune disease. Peptic ulcer disease is most commonly caused by Helicobacter Pylori infection and chronic NSAID use . The most common sites for ulcer formation are the gastric antrum/pylorus and proximal duodenum. The resultant edema and fibrosis around the ulcer site can cause narrowing and eventual obstruction of the gastric outlet [9]. Prior to the widespread use of H2 blockers and proton pump inhibitors, peptic ulcer disease was the most common cause of gastric outlet obstruction, however in the era of H2 blockers, outlet obstruction now predicts malignancy. While endoscopy is the modality of choice for diagnosing gastritis, CT is often performed first particularly in the setting of acute abdominal pain.” Imaging of acute gastric emergencies: a case-based review Jetty S et al. Clinical Imaging 72 (2021) 97–113 |
“On imaging, it can be difficult to distinguish benign peptic ulcer disease from malignant causes of gastric outlet obstruction and biopsy is required for confirmation. Peptic ulcers can perforate and should be recognized on imaging.” Imaging of acute gastric emergencies: a case-based review Jetty S et al. Clinical Imaging 72 (2021) 97–113 |
“On CT, gastritis will appear as wall thickening with alternating hyper- and hypoattenuation representing mucosal enhancement and submucosal edema. The presence of mucosal enhancement (hyperemia) on CT suggests gastritis as the cause of gastric wall thickening. An uncommon form of gastritis is emphysematous gastritis. It is usually caused by gas-forming Escherichia coli. Initially obtained AXR may show mottled gas outlining the gastric wall. CT can confirm the diagnosis. Mottled gas can also be a sign of gastric pneumatosis from ischemia.” Imaging of acute gastric emergencies: a case-based review Jetty S et al. Clinical Imaging 72 (2021) 97–113 |
”Primary gastric cancer (GC) is a common cause of cancer related death worldwide and can initially present as a gastric ulcer. The characteristic CT finding in GC is disruption of the multilayered pattern of the gastric wall enhancement with thickening, variable enhancement and ulceration. Malignancy is the most common cause of gastric outlet obstruction. Malignant obstruction is an advanced disease presentation that occurs in up to 20% of patients with primary pancreatic, gastric, or duodenal carcinomas. It can be intrinsic or extrinsic. Extrinsic obstruction is almost always due to compression of the gastric outlet from tumor growth in surrounding organs. It is most commonly seen with primary tumors of the pancreas and duodenum.” Imaging of acute gastric emergencies: a case-based review Jetty S et al. Clinical Imaging 72 (2021) 97–113 |
Gastric Outlet Obstruction
|
Chemical Gastritis from NSAIDs ![]() |
![]() |
![]() |
![]() |
![]() |
![]() |
![]() |
![]() |
Chemical Gastritis
![]() |
Abdominal Pain ![]() |
Gastric Ulcer with Perforation ![]() |
![]() |
![]() |
































